Искать

Micris Dental Clinics

Местоположение

Дубай, Объединенные Арабские Эмираты

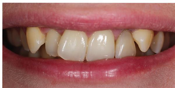
Фотографии до и после операции - Micris Dental Clinics

Dental Veneers - Micris Dental Clinics

До

Dental Veneers

После

Dental Veneers
  • Dental Veneers - Micris Dental Clinics
  • Dental Veneers - Micris Dental Clinics
  • Dental Braces - Micris Dental Clinics
  • Dental Braces - Micris Dental Clinics
  • Dental Fillings - Micris Dental Clinics
  • Dental Fillings - Micris Dental Clinics
  • Dental Veneers - Micris Dental Clinics
  • Dental Veneers - Micris Dental Clinics
  • Dental Veneers - Micris Dental Clinics
  • Dental Veneers - Micris Dental Clinics
  • Zirconia Bridge - Micris Dental Clinics
  • Zirconia Bridge - Micris Dental Clinics
Отказ от ответственности:
Сведения, приведенные на этой странице, были предоставлены Micris Dental Clinics  или представители. Последнее обновление: Jan 4, 2022.
Прочтите наш отказ от ответственности. Если вы нашли какие-либо ошибки или пропуски, сообщите нам.

Copyright © 2008 - 2026 Health-Tourism.com, Все права сохранены